Laikini dantų protezai atlieka svarbią funkciją ne tik estetiškai, bet ir funkcionistinei dantų atstatymo eigai. Jie apsaugo paruoštus danties audinius, leidžia atlikti kramtymo funkciją, o svarbiausia - suteikia pacientui galimybę jaustis komfortiškai ir pasitikėti savimi kol gaminami nuolatiniai protezai. Vokietijoje sukurtas kompozitas laikiniems dantims atveria naujas galimybes šioje srityje, siūlydamas aukštą kokybę ir ilgaamžiškumą.
Kas yra laikini dantų protezai ir kam jie reikalingi?
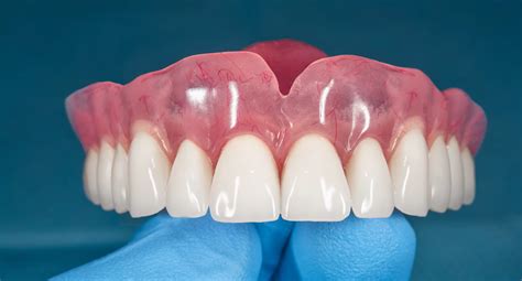
Laikini dantų protezai, dažnai vadinami laikinais vainikėliais ar tiltais, yra naudojami kaip tarpinė priemonė tarp danties paruošimo nuolatiniam protezavimui ir galutinio protezo pagaminimo. Jų pagrindinės funkcijos:
- Apsauga: Jie apsaugo jautrius danties audinius nuo išorinių veiksnių, tokių kaip karštis, šaltis ar mechaninis poveikis.
- Funkcionalumas: Leidžia atkurti kramtymo funkciją, padeda išlaikyti tinkamą dantų padėtį ir apsaugo nuo gretimų dantų pasislinkimo.
- Estetika: Suteikia estetišką vaizdą, kol gaminami nuolatiniai protezai, leidžia pacientui jaustis užtikrinčiau.
- Diagnostika: Padeda gydytojui įvertinti protezo prigijimą, paciento komfortą ir funkcinę adaptaciją.
Laikini protezai dažniausiai gaminami iš plastmasės, akrilo arba, naujausios technologijos dėka, iš specialaus vokiško kompozito. Paprastai laikini, iš plastmasės pagaminti vainikėliai dažniausia tarnauja ne ilgiau nei kelias savaites ar mėnesius, kol bus pakeisti nuolatiniais.

Vokiškas kompozitas laikiniems dantims: kodėl verta rinktis?
Nors tradiciniai laikini protezai atlieka savo funkciją, vokiškas kompozitas kelia naujus standartus laikinojo protezavimo srityje. Ši medžiaga pasižymi:
- Aukštu tvirtumu ir ilgaamžiškumu: Kompozitas yra žymiai tvirtesnis nei įprasta plastmasė, todėl laikini protezai tampa atsparesni lūžiams ir dėvėjimuisi. Tai užtikrina ilgesnį jų tarnavimo laiką ir patikimumą.
- Puikiomis estetinėmis savybėmis: Vokiškas kompozitas leidžia pagaminti protezus, kurie yra labai panašūs į natūralius dantis tiek spalva, tiek tekstūra. Tai ypač svarbu priekinių dantų protezavimui, kur estetika yra prioritetas.
- Biologiniu suderinamumu: Medžiaga yra hipoalerginė ir biologiškai suderinama su burnos audiniais, todėl sumažėja rizika alerginėms reakcijoms ar uždegimams.
- Lengvu apdirbimu ir pritaikymu: Kompozitas yra lengvai apdirbamas, todėl odontologas gali tiksliai pritaikyti protezą prie paciento individualių poreikių ir burnos ertmės ypatybių.
- Natūralaus danties pojūčiu: Dėl savo savybių, kompozitas suteikia pojūtį, artimą natūraliems dantims, gerinant paciento komfortą ir leidžiant jam jausti maisto skonį bei temperatūrą.
Protezuojant laminatėmis paviršinis emalės sluoksnis nušlifuojamas 0.2-0.5 mm. Paprastai pacientai nejaučia jokio pooperacinio jautrumo ir pats dantis yra minimaliai žalojamas. Tai rodo, kokios minimalios intervencijos gali būti atliekamos naudojant šiuolaikines medžiagas.

Įvairios dantų protezavimo galimybės
Šiuolaikinė odontologija siūlo platų spektrą dantų protezavimo sprendimų, atitinkančių įvairius poreikius ir biudžetus. Be laikinių protezų, egzistuoja ir kiti variantai:
- Išimami dantų protezai (plokštelės): Tai viena iš pigiausių dantų protezavimo galimybių, tinkama pacientams, netekusiems visų arba didelės dalies dantų. Bazinė plokštelė gali būti gaminama iš poliakrilinės plastmasės arba termoplastiko (nailono), kuris yra minkštesnis, paslankesnis ir nealergizuojantis.
- Mikroprotezavimas: Šis metodas, naudojant įklotus, užklotus ar laminates (venyrus), leidžia maksimaliai išsaugoti sveikus natūralaus danties audinius, negilinant gretimų dantų.
- Hibridiniai dantų protezai: Tai fiksuoti protezai, tvirtinami ant dantų implantų. Paprastai viename žandikaulyje reikia mažiausiai 4 implantų.
- Cirkonio keramikos vainikėliai:itin tvirti ir estetiški protezai, kurių pagrindas gaminamas iš cirkonio oksido ir padengiamas porcelianu. Jie laidūs šviesai, todėl atrodo natūraliai.
- Bemetalės keramikos vainikėliai: Pagaminti iš modernios keramikos, pasižymi puikiomis estetinėmis ir funkcinėmis savybėmis, idealiai tinka priekinių dantų atstatymui.
- Metalo keramikos vainikėliai: Tvirta konstrukcija, kurios metalinis pagrindas padengiamas keramika. Spalva parenkama pagal natūralių dantų atspalvį. Dėl metalo nepralaidumo šviesai, jie atrodo mažiau natūraliai nei bemetalės keramikos protezai.
- Lieti metaliniai vainikėliai: Tinka protezuojant galinius, sunkiai pasiekiamus dantis, kai reikalingas ypatingas patvarumas, taip pat gaminant tvirtesnius tiltinius protezus.
- Tiltinės konstrukcijos: Naudojamos, kai trūksta kelių dantų, tvirtinamos ant implantų arba atraminių dantų.
Protezuojant ant implantų galima ne anksčiau nei po 3-6 mėnesių po implantavimo, kai implantas jau prigijęs. Kiekvienas atvejis individualus.
Kompensacijos ir finansinės galimybės
Lietuvos Respublikos sveikatos apsaugos ministro įsakymu patvirtinta tvarka numato dantų protezavimo paslaugų išlaidų kompensavimą iš Privalomojo sveikatos draudimo fondo biudžeto. Informuojame, kad, vadovaujantis Lietuvos Respublikos sveikatos apsaugos ministro 2005 m. lapkričio 21 d. įsakymu Nr. V-890 patvirtinto „Dantų protezavimo paslaugų išlaidų kompensavimo iš Privalomojo sveikatos draudimo fondo biudžeto tvarkos aprašo“ 8 punktu, yra galimybė pasinaudoti TLK kompensacija kas 3 metus. Ji skiriama ne tik senjorams, bet ir vaikams. Priklausomai nuo individualios situacijos, kompensacija siekia iki 670,39 €, o sudėtingesniais atvejais - iki 2 062,70 €.
Jei dantų protezavimo kaina viršija kompensuojamą sumą, kainų skirtumą padengia pacientas. Tai puiki galimybė sutaupyti ir tinkamai pasirūpinti savo dantimis. TLK kompensacija taikoma įvairiems protezavimo metodams - nuo pavienių dantų iki išimamų ir fiksuotų dantų protezų.
| Protezavimo Metodas | Apytikslė Kompensacijos Suma | Galiojimo Laikas |
|---|---|---|
| Pavieniai dantys | Iki 670,39 € | Kas 3 metai |
| Išimami protezai | Iki 670,39 € | Kas 3 metai |
| Fiksuoti protezai (sudėtingi atvejai) | Iki 2 062,70 € | Kas 3 metai |
Atvykite į konsultaciją - aptarsime Jūsų situaciją, padėsime gauti kompensaciją ir sudarysime Jums tinkamiausią gydymo planą.

tags: #vokiskas #kompozitas #laikiniems #dantims